当院の胸部CT検査について
日本人のがんによる死亡原因の第1位は男性女性ともに肺がんです。
胸部CT検査は特に肺がんの早期発見に威力を発揮します。
当院では適応があれば
受診当日に胸部CT検査を実施することが可能です。
胸部CT検査とは胸部のコンピュータ断層撮影(Computed Tomography)のことです。
肺にX線を照射させてできた画像をコンピューター処理して数ミリ単位の輪切り像を作成し、肺内外の病変を確認する検査です。
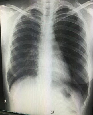
胸部X線レントゲンとは何がちがうの?
胸部X線レントゲンは肺がん検診の一般的な検査ですが、右のような1枚の写真を撮影し、診断を行います。
胸部X線レントゲンで発見される肺がんの内、早期がん(まだ手術での治療の余地のあるがん)は20%ほどしかありません。
胸部レントゲンは1方向(正面)、もしくは2方向(側面)からの画像のため、病変が心臓や大血管、骨などと被ると確認できなくなります。
また、早期癌でよくある淡い病変はそもそもレントゲンでは写らないのです。
その点CTは心臓や大血管、骨の影響を排除できますし、淡い病変もはっきりと確認できるため早期発見につながるのです。

胸部CT検査がおすすめの方
- タバコを日常的に吸っている方・過去に吸っていた方(同居者が喫煙者の方)
- 血縁に肺がん患者がいる方
- せきや痰が長く続く方
- 胸の痛みが長く続く方
などに胸部CT検査を特におすすめをします。
被爆する放射線の量は人体に影響のないレベルではありますが、一般検診に用いること事はおすすめしていません。
そのためにしおか内科クリニックでは、基本的には胸部X線レントゲンで異常を認めた患者さんにCT検査を行います。
しかし肺がんリスクの高い方などにはCT検査から行うこともあります。
また妊婦の方や妊娠している可能性のある方には基本的にはCT検査を実施しません。
詳しくは受診した際にご相談ください。
胸部CT検査の流れ
ご予約
受付
予約をしたお日にち・お時間に来院して受付をしてください。
以下のお持ち物のご準備をお願いいたします。
- マイナンバーカードまたは保険証
- (あれば)他院からの紹介状
- (あれば)検診などの検査結果
診察
検査
検査結果説明
医師により、画像をお見せしながら検査結果の説明を行います。
胸部CT検査の費用
胸部CT検査は健康保険の適用がされます。費用の目安と内訳は、以下の表の通りです。
| 点数 | 1割負担 | 3割負担 | |
|---|---|---|---|
| 単純胸部CT検査 | 1470点 | 約1,500円 | 約4,500円 |
※初診料やその他の事前検査分は含まれておりません。
診療報酬の改定により、金額が変更となることがあります。
あくまで目安の費用となりますので、お問い合わせください。
さいごに

私は外科医を引退し呼吸器内科のクリニックの医師として肺がんをはじめとした呼吸器の病気を早期に発見する立場になりました。
肺がんを治療する最良の治療は抗がん剤治療や放射線治療ではなく「手術による治療」です。
呼吸器外科医としてたくさんの肺がんの患者さんの手術を担当しましたが、肺がん患者さんの3割ほどしか手術に至りませんでした。
その残りの7割は手術しなくて済んだのではなく、がんが進行し手術しても治らないと判断され、抗がん剤治療や放射線治療を選択せざるを得なかったのです。
そのため手術で治る段階の肺がん患者さんを見つけるためにクリニックに胸部CT検査を導入しました。
肺がんが心配、胸部X線レントゲンで異常を指摘された方はお気軽にお問い合わせください。

にしおか内科クリニック
院長 西岡 清訓
(にしおか きよのり)
- (元)日本呼吸器外科学会専門医
- 日本消化器内視鏡学会指導医・専門医
- 日本外科学会専門医
- 麻酔科標榜医・がん治療認定医









